Zrozumienie, co oznacza wielkość pęcherzyka Graafa 18 mm w badaniu USG, jest absolutnie kluczowe dla każdej kobiety starającej się o dziecko. Ten pomiar to nie tylko liczba to ważny sygnał, że Twój organizm przygotowuje się do owulacji, a tym samym do potencjalnego poczęcia. W tym artykule wyjaśnię, co dokładnie oznacza ten wynik, jak szybko możesz spodziewać się owulacji i jakie inne czynniki są równie ważne, abyś mogła świadomie i spokojnie monitorować swój cykl.
Pęcherzyk 18 mm kiedy spodziewać się owulacji i co to oznacza dla starań o dziecko?
- Pęcherzyk dominujący rośnie średnio o 1-2 mm na dobę w cyklu naturalnym.
- Pęcherzyk jest dojrzały i gotowy do pęknięcia, gdy osiągnie 18-26 mm, najczęściej pęka przy 20-24 mm.
- Przy pęcherzyku 18 mm owulacji można spodziewać się w ciągu najbliższych 1-3 dni.
- Zastrzyk z hCG (np. Ovitrelle) podany przy min. 18 mm wywołuje owulację w 24-36 godzin.
- Dla powodzenia cyklu kluczowa jest również grubość endometrium (min. 7-8 mm) oraz objawy owulacji (śluz, ból).
- Potwierdzeniem owulacji w USG jest ciałko żółte i płyn w zatoce Douglasa.
Pęcherzyk 18 mm: co dokładnie oznacza ten wynik USG? Jak interpretować pomiar pęcherzyka w kontekście cyklu miesiączkowego
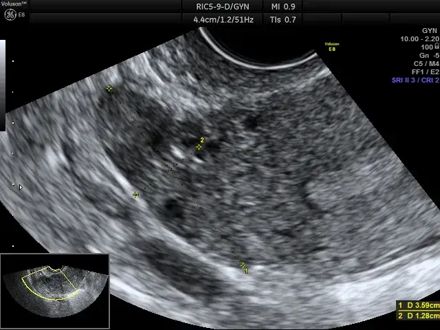
Pęcherzyk Graafa to niewielka struktura w jajniku, która zawiera niedojrzałą komórkę jajową. W każdym cyklu miesiączkowym, pod wpływem hormonów, jeden z pęcherzyków staje się "dominujący" i zaczyna intensywnie rosnąć. Jego główną rolą jest doprowadzenie komórki jajowej do pełnej dojrzałości, a następnie jej uwolnienie podczas owulacji. Kiedy badanie USG wykazuje pęcherzyk o wielkości 18 mm, jest to dla nas, lekarzy, bardzo ważna informacja. Oznacza to, że pęcherzyk jest już na zaawansowanym etapie dojrzewania i zbliża się do optymalnej wielkości do pęknięcia, która zazwyczaj mieści się w zakresie 18-26 mm.
Dlaczego 18 mm to kluczowy moment w monitoringu owulacji?
Wielkość 18 mm jest sygnałem, że pęcherzyk jest bardzo blisko osiągnięcia pełnej dojrzałości i gotowości do uwolnienia komórki jajowej. To jest ten moment, w którym zaczynamy precyzyjnie przewidywać owulację i możemy z dużą dokładnością zaplanować współżycie, aby zmaksymalizować szanse na poczęcie. To naprawdę krytyczny punkt w monitoringu cyklu, który pozwala nam działać proaktywnie.
Rola pęcherzyka dominującego w procesie starania o dziecko
Pęcherzyk dominujący to nasz "bohater" cyklu, jeśli chodzi o starania o dziecko. To właśnie on ma uwolnić dojrzałą komórkę jajową, która będzie zdolna do zapłodnienia. Jego prawidłowy rozwój, osiągnięcie odpowiedniej wielkości i wreszcie pęknięcie są absolutnie niezbędne do naturalnego poczęcia. Bez tego etapu, mimo innych sprzyjających warunków, ciąża nie może zaistnieć.

Jak szybko rośnie pęcherzyk i kiedy spodziewać się owulacji?
Standardowe tempo wzrostu pęcherzyka Graafa: czego oczekiwać?
Z moich obserwacji i wiedzy medycznej wynika, że w naturalnym cyklu pęcherzyk dominujący rośnie średnio o 1-2 mm na dobę. To jest taka standardowa, zdrowa dynamika. W cyklach stymulowanych farmakologicznie, gdzie wspieramy jajniki lekami, ten wzrost może być nieco szybszy i wynosić nawet do 3 mm na dobę. To ważne, aby pamiętać o tych różnicach, ponieważ wpływają one na przewidywanie terminu owulacji.
Pęcherzyk 18 mm: ile dni pozostało do owulacji? (Analiza scenariuszy)
Jeśli Twój pęcherzyk ma 18 mm, a wiemy, że rośnie średnio o około 2 mm na dobę i najczęściej pęka, gdy osiągnie 20-24 mm, możemy to łatwo obliczyć. Jeśli pęcherzyk potrzebuje osiągnąć 20 mm, to zajmie mu to około 1 dnia. Jeśli ma dojść do 22 mm, będą to około 2 dni, a do 24 mm około 3 dni. Oznacza to, że owulacji możesz spodziewać się w ciągu najbliższych 1-3 dni od momentu, gdy pęcherzyk osiągnął 18 mm. To bardzo precyzyjne okno czasowe!
Różnice między cyklem naturalnym a stymulowanym jak to wpływa na wzrost?
Jak już wspomniałam, tempo wzrostu pęcherzyka może się różnić. W cyklu naturalnym, gdzie organizm sam reguluje procesy hormonalne, wzrost jest bardziej stabilny te 1-2 mm na dobę. W cyklach stymulowanych, na przykład Clostilbegytem czy gonadotropinami, leki mają za zadanie przyspieszyć i zintensyfikować wzrost pęcherzyków. Dlatego też możemy obserwować szybsze tempo, nawet do 3 mm na dobę, co z kolei może skrócić czas do owulacji.
Czy pęcherzyk 18 mm zawsze pęka w tym samym czasie? Przy jakiej wielkości pęcherzyk jest gotowy do pęknięcia?
Pęcherzyk 18 mm jest już dojrzały, ale nie oznacza to, że pęknie natychmiast. Uważa się, że pęcherzyk jest dojrzały i gotowy do pęknięcia, gdy osiąga wielkość od 18 do 26 mm. Z mojego doświadczenia wynika, że wielu specjalistów przyjmuje, że pęcherzyk pęka najczęściej przy wielkości 20-24 mm. To daje nam pewien zakres, a dokładny moment zależy od indywidualnych predyspozycji i sygnałów hormonalnych.
Czynniki, które mogą przyspieszyć lub opóźnić owulację
Choć istnieją typowe ramy czasowe, musimy pamiętać, że każdy organizm jest inny. Indywidualne czynniki hormonalne, takie jak nagły wzrost poziomu hormonu luteinizującego (LH), a także ogólny stan zdrowia, poziom stresu czy nawet dieta, mogą wpływać na dokładny moment pęknięcia pęcherzyka. Naturalny pik LH jest bezpośrednim sygnałem dla pęcherzyka, by ostatecznie dojrzeć i pęknąć, ale jego intensywność i czas mogą się wahać.
Rola hormonów (LH, estrogeny) w finalnym etapie dojrzewania pęcherzyka
To fascynujące, jak precyzyjnie działa nasz system hormonalny. Dojrzewający pęcherzyk produkuje coraz większe ilości estrogenów. Kiedy poziom estrogenów osiągnie odpowiednio wysokie stężenie, wysyła sygnał do przysadki mózgowej, która w odpowiedzi uwalnia dużą dawkę hormonu luteinizującego (LH) to właśnie ten słynny "pik LH". Ten pik jest bezpośrednim sygnałem dla pęcherzyka, by dokończył ostateczne dojrzewanie i w ciągu 24-36 godzin pękł, uwalniając komórkę jajową.
Kiedy lekarz decyduje o podaniu zastrzyku na pęknięcie pęcherzyka?
Zastrzyk z hCG (np. Ovitrelle, Pregnyl): cel i mechanizm działania
W cyklach monitorowanych, zwłaszcza tych stymulowanych, często decydujemy się na podanie zastrzyku zawierającego gonadotropinę kosmówkową (hCG), np. Ovitrelle czy Pregnyl. Celem tego zastrzyku jest wywołanie owulacji w kontrolowany sposób. Działa on naśladując naturalny pik LH, dając pęcherzykowi ostateczny sygnał do pęknięcia. To pozwala nam precyzyjnie zaplanować dalsze działania.
Pęcherzyk 18 mm a wskazania do podania zastrzyku
Wielkość 18 mm jest często minimalnym rozmiarem pęcherzyka, przy którym lekarz może zdecydować o podaniu zastrzyku z hCG. Jest to szczególnie często praktykowane w cyklach monitorowanych i stymulowanych, aby mieć pewność, że owulacja nastąpi w odpowiednim momencie. W niektórych przypadkach, jeśli pęcherzyk rośnie bardzo szybko, możemy poczekać, aż osiągnie 19-20 mm, ale 18 mm to już bezpieczna granica do podjęcia decyzji.
Jak precyzyjnie zaplanować współżycie po zastrzyku wspomagającym owulację?
Po podaniu zastrzyku z hCG owulacja następuje zazwyczaj w ciągu 24-36 godzin. To daje nam bardzo precyzyjne okno czasowe do zaplanowania współżycia. Zazwyczaj zalecam parom, aby współżyły w dniu podania zastrzyku wieczorem oraz następnego dnia rano lub wieczorem. To zapewnia, że plemniki będą czekały na uwolnioną komórkę jajową w drogach rodnych, zwiększając szanse na zapłodnienie.

Nie tylko pęcherzyk się liczy: co jeszcze jest ważne dla powodzenia cyklu?
Grubość i struktura endometrium dlaczego jest równie istotna?
Często skupiamy się na pęcherzyku, ale równie ważna jest grubość i struktura endometrium, czyli błony śluzowej macicy. To właśnie w endometrium zagnieżdża się zarodek. Aby implantacja była możliwa, endometrium w momencie owulacji powinno mieć co najmniej 7-8 mm grubości i mieć charakterystyczny, trójliniowy wygląd w obrazie USG. To świadczy o jego prawidłowym przygotowaniu do przyjęcia zarodka. Bez odpowiednio przygotowanego endometrium, nawet idealna komórka jajowa i plemnik mogą nie dać rady.
Jakie objawy fizyczne mogą towarzyszyć zbliżającej się owulacji?
Oprócz monitoringu USG, warto zwracać uwagę na sygnały wysyłane przez własne ciało. Mogą one pomóc w lepszym zrozumieniu cyklu. Do najczęstszych objawów zbliżającej się owulacji należą:
- Ból owulacyjny: Często odczuwany jako kłucie lub lekki dyskomfort w podbrzuszu, zazwyczaj po stronie dominującego jajnika.
- Zmiana wyglądu śluzu szyjkowego: Śluz staje się przezroczysty, rozciągliwy, przypominający białko jaja kurzego. Jest to śluz płodny, który ułatwia plemnikom przemieszczanie się.
- Wzrost libido: Wiele kobiet zauważa zwiększone pożądanie w okresie okołoowulacyjnym.
Domowe testy owulacyjne jak ich używać przy monitoringu USG?
Domowe testy owulacyjne są doskonałym uzupełnieniem monitoringu USG. Wykrywają one pik hormonu luteinizującego (LH) w moczu, który, jak już wiemy, jest bezpośrednim sygnałem do owulacji. Kiedy pęcherzyk ma 18 mm, to jest idealny moment, aby zacząć wykonywać testy owulacyjne. Pozytywny wynik testu LH, w połączeniu z obrazem USG pęcherzyka 18 mm, daje nam bardzo pewne potwierdzenie, że owulacja jest tuż-tuż. To pozwala na jeszcze precyzyjniejsze zaplanowanie współżycia.
Przeczytaj również: Menopauza: Czy tylko ja tak mam? Poznaj objawy i porady
Co dzieje się po pęknięciu pęcherzyka i jak potwierdzić owulację?
Obraz USG po owulacji: czego szuka lekarz?
Po owulacji, podczas kolejnego badania USG, lekarz szuka konkretnych zmian, które potwierdzą, że pęcherzyk pękł i komórka jajowa została uwolniona. Przede wszystkim nie będzie już widocznego dominującego pęcherzyka. W jego miejscu pojawi się inna struktura, a także mogą być widoczne inne charakterystyczne cechy.
Ciałko żółte i płyn w zatoce Douglasa jako dowody na pęknięcie pęcherzyka
Najważniejszym dowodem na odbytą owulację w badaniu USG jest stwierdzenie obecności ciałka żółtego w miejscu pękniętego pęcherzyka. Ciałko żółte to struktura, która powstaje z pozostałości pęcherzyka po uwolnieniu komórki jajowej. Jego kluczową rolą jest produkcja progesteronu hormonu niezbędnego do przygotowania macicy na przyjęcie zarodka i utrzymania wczesnej ciąży. Dodatkowo, często obserwujemy pojawienie się niewielkiej ilości płynu w zatoce Douglasa (przestrzeni za macicą), co jest naturalnym efektem uwolnienia płynu pęcherzykowego podczas owulacji.
Dalsze kroki: co robić w drugiej fazie cyklu po potwierdzonej owulacji?
Po potwierdzonej owulacji rozpoczyna się druga faza cyklu, zwana fazą lutealną. W tym czasie ciałko żółte intensywnie produkuje progesteron, który zagęszcza śluz szyjkowy, podtrzymuje endometrium i przygotowuje macicę na ewentualną implantację zarodka. To jest czas oczekiwania. Jeśli doszło do zapłodnienia i implantacji, poziom progesteronu pozostanie wysoki. Jeśli nie, ciałko żółte zaniknie, a poziom progesteronu spadnie, co doprowadzi do miesiączki. W tym okresie ważne jest, aby dbać o siebie, unikać stresu i cierpliwie czekać na wynik.
